Что будет если проглотить пломбу
В жизни бывают разные ситуации, и никто из нас не застрахован от всего на свете. Многим из нас хотя бы раз доводилось глотать по ошибке и невнимательности жвачки, косточки и прочие продукты, не предназначенные для употребления в пищу. Но, что делать проглотившим собственный зуб, имплант, пломбу или коронку?
Опасно ли это
В такой ситуации главное понимать, что ничего не поправимого не произошло. Вместе с пищей человек может проглотить куда более неприятные вещи и остаться совершенно здоровым. Наш желудочно-кишечный тракт для того и предназначен, чтобы перерабатывать все, что в него попадает, а от всего ненужного благополучно избавляться. Будь то кости или косточки, кожура фруктов и многое другое.
Обыкновенный зуб не представит для вашего желудка больших проблем.
Какие меры принимать стоит, а какие нет
Лишняя предосторожность никогда не помешает. Давайте разберемся, что нужно делать в том случае, если вам не посчастливилось проглотить собственный зуб, и чего делать ни в коем случае не стоит.
Первые меры предосторожности, если вы проглотили зуб
Для начала определите, был ли это кусок зуба или весь зуб целиком. В первом случае гипотетическая опасность прямо пропорциональна величине этого кусочка. Определите также форму скола.
Часто бывает, что отколовшиеся кусочки обладают острыми краями или углами. Если это ваш случай, то вам придется посетить травматолога, который поможет справиться с проглоченной частью зуба.
Если оставшаяся часть зуба также обладает острыми краями, то посетите стоматолога, который сможет эти края обработать.
А что, если вы проглотили зуб целиком? В этом случае вам следует обратиться к стоматологу.
Он проведет обследование и даст свои рекомендации по уходу полостью рта. Это должно помочь вам избежать подобных неприятностей в дальнейшем. Визит же к травматологу необязателен и нужен лишь в том случае, если ваше состояние вызывает у вас опасения. Зуб выйдет самостоятельно через некоторое время.
Если вы проглотили пломбу или коронку
Если вы проглотили пломбу, то визит к вашему дантисту обязателен, так как очень важно установить состав пломбы. Установленные в разных клиниках пломбы обладают различным составом, поэтому вам нужно будет узнать, представляют ли ее компоненты опасность в случае проглатывания. Если это так, то вы должны будете обратиться к гастроэнтерологу, причем как можно скорее.
Острые края пломбы могут поранить пищевод и желудок
Если же это была коронка, то следует направиться в ближайшую травматологию, где специалист осмотрит вас и в случае необходимости оперативно удалит посторонний объект.
Принимать меры самостоятельно не следует, так как коронка может повредить полости желудка и кишечника.
Можно ли обойтись без врачей
За вами остается решение: обратится за квалифицированной помощью или попытаться решить проблему самостоятельно. Несмотря на то, что собственных сил вполне может хватить, относиться к этому без должного внимания нельзя.
Разумеется, при отсутствии каких-либо негативных симптомов вам захочется просто забыть о неприятности, но от лишней осторожности еще никто не пострадал. Если у вас есть возможность, то обязательно обратитесь к специалисту.
Выпадение коронки возможно, если ее сильно нагружать
Является ли рвота решением проблемы
Что будет первым пришедшим к вам на ум решением? Вполне вероятно, что вы захотите от проглоченного зуба избавиться. Если способ «подождать, пока не выйдет сам» еще имеет право на существование, то способ «два пальца в рот» — это худшее, что вы можете придумать.
Рвота — это последнее решение, которое вы должны принимать в любой ситуации.
Она допустима лишь в тех случаях, когда промедление с очисткой кишечника может вызвать непоправимые последствия. Такое бывает при употреблении внутрь не предназначенных для этого химических реактивов и прочих веществ, но не при проглатывании твердых объектов.
Почему нельзя вызывать рвоту
Будь то зуб, гвоздь или кость — рвоту вызывать нельзя. На своем обратном пути зуб будет активно контактировать со стенками желудка, пищевода и глотки. Физические повреждения этих органов бывают довольно опасны. Они могут стать очагами заражений, влекущих за собой куда более неприятные последствия, чем небольшой дискомфорт в животе. Так что ни в коем случае не вызывайте рвоту.
Плотный обед как решение проблемы
Другим вашим решением может стать попытка «смягчить» прохождение зуба посредством употребления большого количества воды или пищи. Подобное решение будет иметь смысл, если действовать с умом и без фанатизма. Нельзя употреблять продукты, имеющие природу задерживаться в организме.
В таком случае вместе с ними задержится и ваш зуб. Лучше съешьте немного фруктов или выпейте воды. Разумеется, что все это стоит делать лишь в том случае, если у вас нет возможности обратиться к врачу. В таком случае любые съеденные продукты станут лишь помехой при вашем обследовании.
Вместо зуба, врач увидит под рентгеном только ваш плотный обед.
Существуют ли какие-нибудь лекарства или иные средства
А также не стоит принимать никаких лекарств и препаратов, предназначенных для ускоренного освобождения желудка от пищи. Лишние раздражители не принесут никакой пользы.
Не стоит также пытаться избавиться от зуба при помощи газированных напитков. Они только еще больше навредят тем зубам, что еще остались у вас во рту.
Поберегите их, чтобы больше не встречаться с обозначенной выше проблемой.
Ну и самое главное — не стоит паниковать. Нет ничего страшного в том, чтобы проглотить небольшой посторонний объект, если он не имеет острых углов и не опасен сам по себе. Ваше здоровье не будет подвергнуто опасности при своевременно принятых мерах и квалифицированной помощи специалиста.
Если зуб проглотил ваш ребенок
Детям вообще свойственно съедать разные мелкие предметы. И зубы не исключение. Ребенок может нечаянно проглотить выпавший молочный зуб и обычно в этом нет ничего страшного.
Зуб выйдет сам через некоторое время вместе с остальной пищей.
Если же сложившаяся ситуация вызывает у вас или ребенка беспокойство, то обратитесь к детскому врачу, который произведет полное обследование ребенка и даст вам дальнейшие распоряжения.
Если вкратце описать план действий, то выглядеть он будет примерно так:
- установить природу проглоченного объекта;
- обследовать ротовую полость ребенка на предмет кровотечений или остатков зуба;
- если состояние ребенка не вызывает опасений, то вмешательства врача необязательно;
- в случае если у ребенка поднялась температура или появились другие симптомы, то необходимо обратиться к врачу;
- врач в свою очередь может либо дать указания по телефону, либо попросить вас привезти ребенка на прием.
Сам прием не займет много времени и не представит для вас и ребенка особой сложности.
Проглоченный зуб на деле оказывается не настолько сложной проблемой, какой может показаться. В большинстве случаев никакого вмешательства может не потребоваться вовсе, хотя если дело и доходит до помощи врачей, то проблема решается в течение нескольких часов.
Что будет, если вы нечаянно проглотили зуб? Насколько это опасно?
Проглотить собственный зуб по мнению обычного человека, не страдающего тяжёлыми или запущенными стоматологическими проблемами, почти невозможно, но это не так. При тяжёлых формах некоторых болезней и отсутствии помощи дантиста долгое время зубы могут выпадать или крошиться во время еды – тогда их можно проглотить незаметно или не успеть среагировать. Что делать в таких случаях?
Насколько это опасно?
Зуб – не совсем инородное тело. Это часть организма пострадавшего, к тому же маленькая и не обладающая серьёзными опасными свойствами вроде токсичности. Ни один из человеческих зубов не может быть настолько большим, чтобы при попадании в желудок и пищевод причинить ощутимые проблемы.
Если вы проглотили зуб, знаете об этом, но не чувствуете его нигде выше желудка, то волноваться не о чем – он уже достиг центра пищеварительной системы и со временем выйдет естественным путём.Опасность возникает при застревании зуба в пищеводе.
Неважно, цельный это зуб или осколок, с большой долей вероятности она нём будут острые края. Они слишком маленькие, чтобы всерьёз повредить слизистую горла, но могут вызвать панику и удушье на её фоне у людей впечатлительных.
Протолкнуть зуб из пищевода дальше, если он застрял, непросто – пережившие подобную неприятность ассоциируют свои ощущения с застрявшей в горле рыбной косточкой, только меньше.
Самая опасная ситуация – попадание зуба в дыхательное горло. Такое случается редко, но действовать необходимо быстро и чётко. Летальных случаев не зарегестрировано, но от недостатка кислорода и панической атаки пострадавший может даже потерять сознание.
Что можно предпринять, а что не стоит?
Самому пострадавшему сложно оценить, насколько глубоко засел зуб. Самостоятельные попытки достать его из пищевода приведут к рвотному рефлексу и, возможно, новым повреждениям полости рта.
Что делать нельзя:
- Пытаться достать зуб пальцами и тем более посторонними предметами
- Паниковать и пытаться “выкашлять” мешающий предмет
- Ничего не предпринимать и замалчивать проблему, ожидая, что она исчезнет сама
Осмотрите десну, если это возможно. Если зуб выпал или раскрошился, то вы должны знать о том, в каком состоянии он был в ближайшее время. Небольшой анализ поможет понять, насколько большой скол теперь мешается вам в горле, аккуратная пальпация десны снизу поможет определить, остался ли внутри корень.
Если нет ощущения боли в области гортани или пищевода, то естественный путь выхода проглоченного зуба наиболее вероятен и для беспокойства нет причин
Со всей этой информацией отправляйтесь к своему стоматологу или сразу к травматологу, если есть затруднения в дыхании. Специалист подскажет, что делать сейчас, и заодно проведёт диагностику других зубов, предупреждая о возможной опасности.
Если проглочена коронка или пломба
Пломбы с острыми краями несут в себе такую же потенциальную опасность для слизистой пищевода, что и зубы, но по объёмам они значительно меньше. Пломбы также могут отваливаться не полностью, а скалываться небольшими фрагментами, которые почти не несут опасности.
Важно! Если проглочена свежая пломба, немедленно обратитесь к стоматологу, который её ставил. Она либо была поставлена неправильно, либо выпала по причине своей ненадёжности. В дырку, недавно заделанную пломбой, инфекция попадать не должна – шанс заражения и воспаления очень высок.
Проглоченная коронка сама по себе вреда не принесет, но нужно скорее посетить стоматолога, чтобы защитить оставшийся без коронки зуб
Коронки тоже небольших размеров и при попадании в пищевод и далее вреда не принесут (кроме возможных микроцарапин).
При выпадении пломбы или коронки нужно сразу же устранить эту проблему, поставив новую, даже если зуб не болит и никак не беспокоит.
Открытые зубные каналы и здоровые части зуба через несколько недель начнут разрушаться от приёма пищи, горячей жидкости. Из-за промедления может возникнуть потребность полностью лечить зуб заново.
Можно ли обойтись без посещения врача?
Можно, если никакого дискомфорта не ощущается. Зубная эмаль и “тело” зуба не несут никакой угрозы даже если они испорчены кариесом. Организм легко перенесёт это и “пропустит” посторонний объект через ЖКТ без повреждений.
Из ближайших аналогий можно представить, что вы проглотили вишнёвую косточку.
Проглоченная коронка или пломба всё же стоит посещения врача в любом случае. Так можно предупредить дальнейшее разрушение и не подвергать опасности соседние здоровые зубы.
Ошибки самолечения
В панике человек, не разбирающийся в проблеме, обычно ухудшает своё самочувствие в разы. При попадании зуба внутрь пострадавшие пытаются как можно скорее избавиться от этой проблемы, хотя очевидно, что такой маленький предмет скоро покинет организм сам.
Переедание
Такую ошибку допускают люди, не знакомые с устройством пищеварительной системы. Единственный вариант, когда это решение может быть частично верным – зуб застрял в конце пищевода и вы чувствуете его где-то над желудком.
Можно съесть небольшой кусочек чёрного хлеба (белый более клейкий), фрукта или овоща (желательно с плотной консистенцией). Если после этого ощущения никак не изменятся, попытайтесь через полчаса снова. Пить воду можно.
Важно! Ощущения могут искажаться беспокойством и тревогой – бывали случаи, когда испуганные надуманными угрозами люди ощущают изнутри давление и царапины, которых нет. Проверить своё состояние можно умеренным глотком воды.
К тому же, проглоченную коронку или другой металлический элемент зубных корректирующих конструкций не будет видно на рентгене из-за большого количества пищи в желудке и отходов в кишечнике.
Вызов рвоты
Вызывать рвоту – очень плохая идея.
При застревании зуба в пищеводе это может не помочь, а доставать его из желудка ценой обезвоживания организма и возможного расстройства пищеварения – слишком затратно в плане ресурсов человеческого тела.
Следует помнить, что рвота – это экстренный механизм защиты, а не нормальное состояние организма. Вызывать его самостоятельно значит осознанно подрывать своё здоровье.
Даже если зуб действительно застрял по пути из пищевода в желудок, резкий наплыв полупереваренной пищи снизу толкнёт его с достаточной силой для того, чтобы острые края оставили царапину на слизистой.
Существуют ли лекарственные средства, которые улучшат ситуацию?
Направленных на решение этой конкретной проблемы – не существует. Такие лекарства не реализуются потому, что проблема не существенна и вскоре решится сама или с минимальной помощью врачей.
Ни в коем случае не используйте препараты, искуственно ускоряющие пищеварение – это нанесёт организму не меньший вред, чем рвота.
Обезвоживание, остановка здорового процесса пищеварения, болевые ощущения, потеря аппетита – все эти симптомы могут появиться, если принять препарат без соотвествующих показаний.
Если зуб сильно застрял и царапается, никакие медикаменты тут не помогут – обратитесь в травмпункт, там ежедневно вытаскивают посторонние предметы из пищевода.
Делать такое может только профессиональный медик, который знает, как устроен пищевод и не повредит его.
При нежелании отстаивать очередь в поликлинике и заниматься поиском нужного кабинета можно найти частный стоматологический кабинет – обычно в каждом районе есть как минимум один такой.
Что делать, если зуб проглотил ребёнок?
Дети как раз чаще всего и глотают зубы – они быстрее жуют, торопятся и мало знают об обращении с больными и слабыми зубами. Родитель может долгое время не знать, что у ребёнка слабо держится или крошится коренной зуб – дети часто утаивают такую информацию, чтобы отсрочить визит к стоматологу.
У маленьких детей выпадают молочные зубы, которые те часто случайно проглатывают.
Лучше заранее объяснить ребёнку, что выпавших зубов будет ещё много и стоит обращаться с ними осторожнее. Царапающий горло зуб принесёт малышу куда большее беспокойство, чем взрослому – он может начать плакать, будучи не в состоянии избавиться от раздражителя.
Что делать с ребёнком с такой жалобой?
- Позвоните в детскую поликлинику и спросите часы приёма штатного дантиста (на крайний случай подойдёт травматолог, лор и даже хирург
- В скорую звонить не стоит (только если ребёнок задыхается – тогда зуб в дыхательном горле)
- Успокойте ребёнка, дайте ему попить и возьмите с собой лёгкую еду, дав кусочек на случай, если это поможет
- Если поликлиники не работают, найдите ближайший частный кабинет стоматологии – там быстро и скорее всего бесплатно решат проблему
Не стоит разводить панику – прямо скажите ребёнку, что ничего страшного не происходит и проблема легко решаема.
Что делать если вы проглотили коронку от зуба
Совет № 1: не паникуйте
Часто люди непроизвольно могут проглотить фрагмент коронки во время приема пищи, в процессе ее пережевывания, например, вместе с мясом или даже с помидорами (т.е. с мягкой пищей), или же неприятность может случиться во сне. Если такая ситуация произошла в вашей жизни, то постарайтесь не паниковать.
Ведь в большинстве случаев это не чревато серьезными осложнениями. Современные искусственные коронки и протезы выполнены из безопасных и гипоаллергенных материалов, т.е. вы по крайней мере не отравитесь, а интоксикации организма не произойдет.
Если же вы проглотили коронковую часть от натурального разрушившегося зуба, который обломился, то ситуация аналогична.
Важно не паниковать при проглатывании изделия
«Вообще, такая неприятная ситуация может произойти только в нескольких случаях. Например, если срок эксплуатации самого протеза и цемента, с помощью которого он был закреплен, вышел, т.е. конструкция просто расцементировалась.
Или врач изначально использовал в своей работе некачественные материалы и клеи для фиксации. Часто такое происходит с временными конструкциями, которые не предназначены для цементной фиксации и длительной эксплуатации.
Ну а иногда причина может крыться в том, что сам пациент дает на натуральный или искусственный зуб непосильную и совершенно неадекватную нагрузку, любит грызть орешки, сухарики, открывать бутылки.
Также причиной может стать любая травма, полученная в ходе аварии, падения, драки, занятий опасными видами спорта», – считает Амбалова Э.И., стоматолог-терапевт, ортопед.
Совет № 2: оцените ситуацию и будьте готовы к осложнениям
Если проглотили коронку от зуба, то что делать? Прежде всего постарайтесь оказаться около зеркала и оценить ситуацию. Рассмотрите масштабы «потери».
Коронка откололась частично или была проглочена полностью? В первом случае следует насторожиться и внимательно следить за своим состоянием, а также желательно в ближайшее время отправиться на прием к врачу, ведь кусочек мог иметь острые края, которые могут травмировать желудочно-кишечный тракт и пищевод.
Наш ЖКТ устроен так, что через него свободно могут проходить вместе с пищей и другие предметы, которые имеют размер не больше таблетки. Но иногда неприятности все же случаются. Давайте рассмотрим, какими еще осложнениями чревата такая ситуация:
- внутреннее кровотечение,
- перфорация стенки желудка или кишечника,
- непроходимость кишечника.
При тревожных симптомах стоит обратиться к врачу.
Итак, если коронка целая, гладкая и округлая, то вреда она не нанесет, и в таком случае врачи советуют придерживаться выжидательной тактики в первые несколько суток. Скорее всего, хоть натуральный, хоть искусственный зуб выйдет из организма самым естественным способом – в зависимости от индивидуальных особенностей организма на это может уйти до 4-х суток.
Но если вы полагаете, что края проглоченного фрагмента могли быть острыми и хотите обезопасить себя, то пора собираться на прием к врачу.
Также вас должны насторожить сопутствующие осложнениям тревожные симптомы, если наблюдаете за своим состоянием в течении нескольких дней, а не сразу отправляетесь к специалисту: тошнота или рвота с кровью, кал с кровью, хрипящее или свистящее дыхание, появление одышки, признаки общей интоксикации организма.
Совет № 3: посетите травмпункт и пройдите рентген
Если проблема возникла с живым зубов, у которого отвалилась или откололась коронка, то у большинства людей возникает мысль в первую очередь посетить стоматолога. Хотя на самом деле сначала нужно отправиться в место, где вам смогут сделать рентген желудочно-кишечного тракта.
В стоматологиях вы не получите исследования тех органов, которые находятся ниже головы, а вот, например, в травмпункте установлены аппараты, которые помогут оперативно сделать снимки нужной области и изучить ситуацию.
После сделанных снимков можно дополнительно получить консультацию хирурга или гастроэнтеролога.
Желательно пройти рентген-обследование желудка
При попадании коронок или элементов брекет-систем (проблема также является довольно распространенной) в желудочно-кишечный тракт и тонкий кишечник, врачи прибегают к хирургическому вмешательству только в самых крайних случаях. В основном же специалисты выбирают выжидательную тактику, назначают слабительные препараты и клизмы для выведения чужеродных материалов из организма, промывание желудка и кишечника.
Совет № 4: скорректируйте рацион питания
Чтобы организм очистился за счет ускорения перистальтики кишечника, а у коронки было больше шансов выйти естественным путем, можно кушать кукурузу, цельнозерновые продукты, твердые овощи и фрукты, рекомендуется пить много воды. Например, та же кукуруза проходит через кишечник в практически неизмененном виде, а, значит, и у коронки точно такие же шансы.
Если проглотили коронку, то ни в коем случае не пытайтесь вызвать рвоту, чтобы она вышла. Это чревато тем, что она в таком случае может попасть в дыхательные пути и легкие, травмировать кишечник, что уже действительно опасно для жизни.
Совет № 5: запишитесь на прием к стоматологу
Стоматолог поможет вам восстановить разрушения и вновь вернуть зубу красоту и функциональность. Но тут важно учитывать, что если искусственная коронка была проглочена полностью или отсутствует большая ее часть, то ее придется полностью менять, т.к. отреставрировать в таком случае конструкцию будет просто невозможно. Если же произошел скол верхнего слоя, например, коронка была выполнена из металлокерамики или керамики, а маленький кусочек керамики отлетел, то врач прямо на приеме проведет реставрацию.
Скол верхнего исправляется реставрацией без снятия коронки
Аналогично на разрушившийся натуральный зуб придется устанавливать коронку или же в зависимости от масштабов разрушения можно будет отделаться либо композитным наращиванием, либо придется предварительно наращивать зуб при помощи штифта или культевой вкладки.
Вообще же в обязательном порядке посещайте стоматолога каждые полгода.
Ведь тогда специалист еще на профилактическом осмотре сможет вовремя выявить проблему и устранит ее до того, как с вами произойдет неприятная ситуация, связанная с проглатыванием коронки.
Если же вы игнорируете походы ко врачу, то попросту можете не заметить, например, что зуб расшатался или нуждается в восстановлении, а срок эксплуатации искусственной коронки уже вышел или ее требуется заменить.
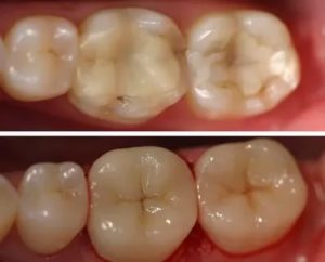
Перелечивание зубов | Что делать, если выпала пломба, проглотил ее
Если вылеченный от кариеса или пульпита зуб снова начинает болеть или установленная пломба разрушается, выпадает, потребуется перелечивание.
При повторном лечении остатки пломбировочного материала удаляют, обработку полости и корневых каналов выполняют снова, оказавшуюся открытой полость пломбируют заново.
Перелечивание может оказаться более сложным, чем первичное лечение, но выполнять его нужно обязательно: иначе воспаление продолжит развиваться, что опасно потерей зуба.
Почему выпадают пломбы или снова начинают болеть зубы?
Первичное лечение было некачественным или неправильным:
- пломбировочный материал накладывался на недостаточно просушенную коронку. Из-за этого «соединение» оказалось ненадежным, а композит начал крошиться или просто выпал;
- в корневом канале остались обломки стоматологического инструмента или другие посторонние предметы, что спровоцировало развитие инфекции;
- при пломбировке корневые каналы не были заполнены до конца. Это спровоцировало повторное развитие воспаления, появление сильной боли, отека;
- пломбировочный материал — некачественный или неправильно подготовленный. При отвердении он дал слишком большую усадку. По краям образовались микротрещины или зазоры, из-за чего материал начал разрушаться.
Пломба разрушилась по вине пациента:
- из-за некачественной гигиены кариес развивается повторно. Без лечения установленная ранее пломба может разрушиться или выпасть;
- пломбировочный материал трескается, ломается, выпадает из-за слишком большой жевательной нагрузки (откусывание твердых продуктов, разгрызание орехов).
Естественные причины:
- срок использования пломбировочного материала истек, он разрушается из-за износа;
- собственные ткани зуба являются недостаточно твердыми.
Выпала пломба: что делать до приема стоматолога?
Если выпадает постоянная пломба:
- до визита к стоматологу периодически выполняют полоскания антисептическими средствами;
- жевательную нагрузку на разрушенный зуб нужно ограничить: стараться жевать другой стороной, не откусывать твердые продукты и т.п.;
- при чистке зубов не давить щетиной на проблемный участок, по возможности его вообще лучше не трогать;
- чтобы снять сильную боль, можно принять анальгетик.
Стоматологи не рекомендуют:
- пытаться самостоятельно удалить остатки пломбировочного материала. Удаляя их, можно повредить стенки коронки или пульпу, спровоцировать усиление боли;
- закладывать любые лекарства или средства внутрь зуба. Это не защитит от осложнений, но может ухудшить состояние пульпы, дентина;
- пытаться «закрыть» отверстие ватой, марлей, жевательной резинкой и т.п. Воспалительный процесс пойдет быстрее, если полость не будет промываться слюной.
Если выпала временная пломба:
- если визит к стоматологу назначен только через несколько дней, свяжитесь с врачом и сообщите ему, что временная пломба разрушилась. Он может перенести визит или дать дополнительные рекомендации;
- если пломбу скоро должны заменить (в этот же день или на следующий), дождитесь приема. Не нагружайте поврежденный зуб, не закладывайте внутрь дополнительное лекарство, не пытайтесь вынуть остатки пломбы. Если выполнялось лечение каналов, для защиты от инфекции полость можно прикрыть ваткой, смоченной в антисептике.
Что делать, если пациент проглотил пломбу?
Никаких специальных действий или лечения не нужно: пломбировочный материал не переварится и выйдет естественным путем. Он не токсичен и не может спровоцировать отравление.
Как выполняется перелечивание зубов?
Если выпала постоянная пломба, нужно как можно быстрее обратиться к стоматологу для повторного лечения.
Стоматолог выполнит:
- осмотр и диагностику. Если выполнялась пломбировка корневых каналов, выполняется контрольный снимок, чтобы оценить, полностью ли они заполнены пломбировочным материалом. Если нет — нужно удаление старого пломбировочного материала и повторное пломбирование;
- удаление пломбировочного материала. Коронка вскрывается, ранее сформированная полость полностью очищается от пломбировочного материала;
- обработку. Выполняется для профилактики повторного инфицирования или для лечения, если воспалительный процесс уже начался. Обработка корневых каналов проводится на всю глубину;
- повторную пломбировку. Корневые каналы заполняются пломбировочным материалом на всю глубину, без образования пустот. Качество заполнения контролируют, выполняя диагностический снимок. Препарированную коронку восстанавливают с использованием композита.
Если выпала пломба, перелечивание зуба выполняется обязательно. Без него высок риск, что воспалительный процесс продолжит развиваться. Запломбированный зуб разрушится окончательно, возможна потеря и других (соседних) зубов. Перелечивание остановит этот процесс, позволит сохранить зуб.
Проглотил зубной протез, что делать в данной ситуации — идти к врачу или решать проблему самому?
Современные мосты и коронки имеют облегченный вес и компактные размеры, чтобы пациент не испытывал дискомфорт при ношении. Поэтому не исключены ситуации, когда человек проглотил зубной протез. Предотвратить проблему помогают регулярные профилактические осмотры у стоматолога, аккуратный уход и соблюдение рекомендаций ортодонта.
Действия при проглатывании зубного протеза
Большинство неприятных ситуаций происходит во сне или во время принятия пищи. Главное правило – не паниковать, не пытаться самостоятельно назначать себе слабительные препараты.
Необходимо срочно обратиться к врачу, чтобы подобрать наиболее безопасный и комфортный способ решения.
Большинство современных протезов производится из качественных материалов, поэтому отравление и интоксикация исключены.
Но проблему не следует игнорировать: старые коронки могут иметь острые сколы или разломаться при жевании. При попадании в пищевод они легко травмируют тонкие стенки и слизистые оболочки. Это способно спровоцировать воспаление с рядом осложнений, которые сложно поддаются лечению. Поэтому не обойтись без посещения травмпункта или хирурга.
Сколько ждать, когда протез выйдет естественным путем
Если женщина проглотила зубной протез, в большинстве случаев врачи рекомендуют дождаться его выведения с каловыми массами. У каждого пациента организм и кишечник «работает» индивидуально, поэтому полное прохождение через тракт может занять до 7 суток.
Какие зубные протезы чаще всего проглатывают во сне
Среди конструкций, которые можно проглотить незаметно:
- коронки, у которых нарушено крепление;
- «бабочка» на один зуб из нейлона;
- мост на 2–3 зуба;
- искусственный зуб со штифтом.
Проблема актуальна для пациентов разного возраста. Нередко она возникает у людей после инсульта, когда теряется чувствительность.
Причины выпадения конструкций
Несмотря на использование качественных материалов, возникают ситуации, при которых проглочена зубная коронка:
- нарушена технология крепления;
- произошло расцементирование коронки по истечению срока годности;
- сломались кламмеры;
- расшатались штифты.
Иногда проблема возникает после протезирования, когда зубной протез еще вызывает дискомфорт и пациент плохо контролирует его положение.
Последствия
В большинстве случаев, если особа проглотила зубной протез, он выйдет самостоятельно через несколько дней. Но всегда остается риск повреждения стенок пищевода. Края коронки могут повредить слизистые оболочки, занести бактериальную инфекцию.
Что делать: первая помощь взрослым и детям
Среди рекомендаций, что делать, если проглотил зубной протез, – обратиться к врачу за консультацией. Врач оценивает шансы естественного выведения изделия на основании рентгеновских снимков. Ему важно знать форму и наличие острых краев, которые при прохождении через кишечник могут повредить эпителий.
Действия врача
Основная задача врача:
- установить тип протеза, его форму и материал;
- при необходимости запросить данные от лечащего стоматолога;
- при отсутствии информации назначить рентген.
Если ребенок проглотил один из молочных зубов, ему могут порекомендовать клизму или промывание желудка. Для взрослого пациента применяется эзофагоскоп – специальный прибор, позволяющий аккуратно изъять протез через пищевод.
Причины выпадения коронки
При реставрации зуба врач изготавливает специальную коронку, которая надевается на культю или предварительно обточенную опору. Для фиксации используется стоматологический цемент или клей.
Он выдерживает давление при укусе и горячую температуру напитков.
Но через несколько лет активного использования, цементирующий состав начинает ослаблять хватку, поэтому протез шатается и соскальзывает.
Что делать, если проглотил коронку от зуба
Коронка является маленьким протезом, поэтому ее легко проглотить незамеченной. Но многие пациенты ошибочно недооценивают ее опасность для здоровья. Иногда под ней остается временная пломба с мышьяком, которая может повредить желудок и отравить больного.
Если человек проглотил зубной протез, в большинстве случаев врачи рекомендуют дождаться его выведения с каловыми массами. У каждого пациента организм и кишечник «работает» индивидуально, поэтому полное прохождение через тракт может занять до 7 суток.
Оперативно обратиться к специалисту
Материалы, используемые для протезирования, не перевариваются пищеварительной системой человека. Но при использовании дешевого акрила или металла нередко возникает аллергическая реакция. Поэтому всегда остается риск осложнений и неприятных последствий.
Промывание желудка
Процедура проводится, если пациент съел миниатюрный протез или одну коронку. Она рекомендуется только в течение 2–4 часов после глотания, когда конструкция еще остается в желудке. Лучше доверить промывание специалисту, который контролирует процесс с помощью оборудования, а в случае экстренной ситуации отправляет на операцию.
Возможные осложнения после проглатывания коронки
При попадании в желудок или кишечник может произойти перфорация стенок слизистой. Следует немедленно обратиться к врачу, если появились симптомы:
- кровь в слюне или моче;
- тошнота;
- обильное слюноотделение;
- боль в животе;
- повышение температуры.
Наблюдение требуется, если протезвыходит естественным путем. Перфорация кишечника может произойти в любой момент.
Если зуб проглотил ребенок
В период от 6 до 11 лет происходит активная смена молочных зубов коренными. Они выпадают безболезненно, поэтому нередко возникает ситуация, когда кроха при проглатывании пищи съедает моляр. Родителям не следует впадать в панику: они не имеют острых краев или корней.
Плотный обед — как решение проблемы проглоченного протеза
Чтобы обеспечить выведение зуба естественным путем, врачи рекомендуют накормить малыша продуктами, которые стимулируют кишечник. Если ребенок проглотил резец, сделайте ему овсяную кашу с добавлением кусочков чернослива. Улучшает и ускоряет процесс салат из свеклы, кисломолочные продукты и сладкий йогурт.
Предотвратить ситуацию с проглатыванием зуба помогает решать профилактика. Ежедневно при чистке необходимо осматривать ротовую полость, чтобы заметить сколы или трещины. Каждые 6 месяцев следует посещать стоматолога, который проверяет состояние коронки и протеза, качество крепления цемента или кламмеров.
Что будет, если проглотить зуб или коронку: что делать в этой ситуации?
Зубные коронки, протезы, пломбы – в современной стоматологии часто применяются подобные методы лечения. Не стоит говорить об их эффективности и качестве, новейшие технологии позволяют достичь совершенства. Однако они имеют срок годности, по истечению которого выпадают.
Часто в силу физиологических особенностей человек проглатывает коронки, протезы со штифтами и крючками, пломбы, а иногда и зубы. Важно знать, что делать в таких ситуациях.
Ситуации, в которых можно проглотить зуб, коронку или протез
Наиболее часто встречающийся случай – ребенок проглотил молочный зуб. Вполне нормально, когда он выпадает во время еды и вместе с пищей поступает в желудок. Иногда и у взрослых возникают подобные ситуации, но жевательный элемент не полностью выходит из десны, а откалывается.
Коронки и протезы выпадают по различным причинам:
- истечение срока эксплуатации фиксирующего материала,
- повышенные нагрузки,
- временная фиксация конструкции.
Причины выпадения пломбы:
- Низкое качество пломбировочного вещества и неправильная усадка. Между композитом и зубной тканью образовывается зазор, куда попадают частицы пищи, создающие благоприятную среду для бактерий. В результате возникает вторичный кариес, разрушающий зуб под пломбой.
- Ошибка врача. Если стоматолог недостаточно тщательно вычищает зубную полость, пломба плохо фиксируется.
- Истечение срока эксплуатации. Пломбировочные материалы служат определенное время, выяснять это нужно у стоматолога.
- Высокая нагрузка на жевательный элемент. Раскусывание орехов, неправильный прикус и т.д.
- Хрупкие зубные ткани после перенесенных заболеваний. Пародонтоз, пульпит и другие болезни могут ослаблять их.
- Временная установка.
Что делать в первую очередь?
Отдельно стоит поговорить о молочных зубах. Что будет, если ребенок проглотил один из них? Не беспокойтесь, специалисты уверяют, что они недостаточно острые и крепкие, чтобы нанести вред. Главное в этой ситуации – обработать десну и успокоить ребенка. Нужно следовать следующему алгоритму:
- прополоскать рот кипяченой водой,
- чистым ватным диском или марлей убрать кровь,
- не кушать 2 часа, затем плотно покормить,
- объяснить ребенку, что проглоченный зуб неопасен.
Если через некоторое время зуб не выйдет естественным путем, он переварился из-за недостатка кальция в организме. Желательно обратиться к врачу.
Проглоченная пломба более опасна тем, что оголяет зубную полость, возникает риск повторного возникновения кариеса. Не пытайтесь прикрепить ее на место — ничего не выйдет. Лучшее решение – не впадать в панику, а как можно быстрее обратиться к стоматологу.
Если добраться до клиники быстро не получается, можно воспользоваться Дентин-пастой или аналогичными средствами. По структуре они похожи на пластилин, поэтому легко помогут заделать дырку. Перед применением убедитесь, что в полости нет частичек пищи, и прополощите рот.
Долго ходить с импровизированной пломбой не стоит, так как высока вероятность возникновения вторичного кариеса. Иногда и этот вариант недоступен в силу каких-то обстоятельств, тогда пытайтесь не жевать на проблемной стороне.
Необходимо периодически полоскать ротовую полость и следить за гигиеной.
Проглоченные коронки со штифтами или крючками – показание к немедленному обращению в больницу (рекомендуем прочитать: что делать, если зуб со штифтом болит?). Не поднимайте панику и не занимайтесь самодеятельностью: слабительные или клизмы способны усугубить ситуацию.
Возможные последствия проглатывания
Протезы не представляют опасности при проглатывании, так как они изготавливаются из нетоксичных материалов. Опасны сколы, острые края, штифты и крючки, которые становятся причиной осложнений:
- повреждение или перфорация стенки пищеварительного тракта,
- внутреннее кровотечение,
- кишечная непроходимость.
Не медлите с обращением в ближайший травмпункт, так как ситуация может быть критической. Обращаться к стоматологу следует после гастроэнтеролога, когда станет ясно, что здоровье в безопасности. Дело в том, что зубной врач не сможет сделать рентген органов пищеварительной системы, к нему следует идти для повторной установки протеза.
Выпавшая пломба не представляет опасности для ЖКТ, так как не может повредить слизистую органов. Многие считают, что при лечении кариеса применяется токсичный мышьяк, который способен вызвать отравление.
Данная методика официально разрешена, но очень редко используется на практике. Однако даже пломба, установленная с применением мышьяка, безопасна, так как его концентрация очень мала и не способна нанести вред.
Беспокоиться нужно об оголенной зубной полости, которая будет удобна для бактерий. Это главная проблема при выпадении пломбировочного материала, так как она чревата появлением вторичного кариеса.
Чем поможет доктор?
Сначала делают рентгенограмму, показывающую местоположение проглоченного элемента. Если пациент не жалуется на боли, то врач примет выжидательную позицию.
Будут проводиться анализы, постоянная рентгенография, диета и клизмы до тех пор, пока проблема не решится естественным путем.
При наличии болевых ощущений, вероятно, будет назначено хирургическое вмешательство, если другие методы не оказали нужного действия.





