Киста головного мозга – это новообразование доброкачественной природы. Имеет вид полости, заполненной спинномозговой жидкостью.
Лакунарная киста головного мозга находится между серым веществом мозга и его оболочками, также может находится в гемисфере мозжечка или в варолиевом мосту. По данным наблюдений, встречается у 4% населения, мужчины чаще страдают от заболевания, чем женщины.
Опасность развития это вида кисты заключается в том, что данное образование может бессимптомно достигнуть значительных размеров.
Лакунарная киста головного мозга: что это такое
Лакуна – это небольшое (размером от нескольких до десятка мм) включение со спинно-мозговой жидкостью. Стенки капсулы представлены фиброзной тканью. Камера с жидкостью образуется в разных местах головного мозга:
- лобной;
- височной;
- затылочной.
Лакуна образуется в качестве ответа организма на воспалительный или некротический процесс в головном мозге. Если часть нейронов серого вещества отмирает, пространство с отмершими частичками сразу окружается фиброзными тканями. Сообщение отмерших тканей со здоровыми прекращается. Этот механизм защиты призван оградить мозг от общего воспаления, некроза и других пагубных процессов. Отмершие клетки могут начать распространять болезнетворные организмы, что плохо скажется на состоянии здоровья человека.
В чем тогда опасность кисты, если он предотвращает распространение некрозов и воспалений? Проблемы камер со спинномозговой жидкостью в том, что они могут разрастаться до крупных размером и давить на здоровые участки тканей. Это приводит к нарушениям зрения, психики, координации, памяти и многим другим симптомам. Мозг – главный центр управления организмом, поэтому при малейшем негативном воздействии на его отделы состояние нервной системы существенно ухудшается.
Давление со стороны лакуны – не единственный вариант пагубного воздействия. Водянистое включение может начать распространять скопившуюся в себе спинно-мозговую жидкость, если целостность фиброзных стенок будет нарушена. Такой процесс также чреват ухудшением работы мозга, различными неприятными синдромами. Но самое опасное последствие распространения содержимого кисты – это образование злокачественных опухолей.
Специальная диета
В ходе лечения и в послеоперационный период больной придерживается специальной диеты. Для снижения холестерина в крови, способного вызывать тромб, из его рациона удаляются блюда с жирным, жареным мясом. Мясные продукты, пригодные для употребления в данной ситуации, представляют собой вареную рыбу, курицу и телятину.
Для нормализации артериального давления и укрепления иммунной системы в рацион включаются свежие фрукты и овощи. Питание пациента настраивается так, чтобы он питался 6-7 раз в день, но малыми порциями. Это снижает нагрузку на желудок, но позволяет всем полезным веществам из пищи впитываться в кишечник в полной мере.
Категорически запрещается пить кофе и алкогольные напитки.
Встречаемость заболевания в зависимости от пола и возраста
Мужчины больше подвержены лакунарной кисте головного мозга. Они особенно часто страдают от нее в пожилом возрасте, начиная с 40-50 лет. Люди, наиболее подверженные заболеванию – пациенты, страдающие от приступов инсультов.
Лакунарная киста считается постнатальным заболеванием. Капсулы редко возникают в процессе формирования эмбриона.
Важно. Чаще они носят приобретенный характер, появляются в результате травм и перенесенных болезней.
Последствия
Если не проводить терапию нормально, проявляются негативные последствия в виде проблем с координацией движений, расстройствами слуха и зрения, воспалений, летального исхода.
У малышей возможно появление гидроцефалии, сбора ликвора в желудочках, в результате чего сжимается мозг. Если правильно диагностировать и вылечить расстройство, удастся избавиться от признаков болезни и предотвратить появление новых кист. В профилактических целях нужно меньше, чем в 2 года проходить профилактические процедуры.
При несвоевременном определении лакунарной кисты головы пациент не получает должного лечения, это приводит к плачевным результатам. Постишемическая лакунарная киста чревата такими расстройствами: проблемы с координацией движений, трудности со слуховыми и зрительными анализаторами, гидроцефалия, летальный исход, энцефалит.
Разновидности кисты мозга
Большая часть лакунарных кист мозга – постнатальные, то есть приобретенные уже после рождения. Однако есть отдельная категория лакун – порэнцефалическая киста головного мозга. Она заслуживает внимание, поскольку отличается от обычной кисты симптомами и развитием.
Порэнцефалическая киста головного мозга: что это такое
Данный вид кисты преимущественно образуется у ребенка в утробе матери. Очень редко к появлению жидкостных камер может привести врачебная ошибка (давление на голову).
Выражается порэнцефалическая киста в виде крупных областей с жидкостью в головной мозге. Процент поражения нейронов при данном типе недуга гораздо выше, чем при появлении некрупных лакун и взрослых людей. Неконтролируемое развитие порэнцефалической кисты может привести к серьезным нарушениям в развитии ребенка.
Важно. При обнаружении данного отклонения новорожденный остается в стационаре и проходит через ряд операций, направленных на прекращение процесса образования лакун. Лечение считается срочным.
Лечение
Когда патология имеет небольшой размер, а у человека нет каких-либо её проявлений, то лечение не назначается. За аномалией в этом случае просто наблюдают. Начинать лечебные процедуры необходимо, когда киста начинает проявлять себя характерными признаками. Прежде всего, лечат те заболевания, которые привели к её появлению. Для этого зачастую могут применяться в разных случаях следующие средства:
- Антибиотики;
- Противовирусные;
- Гипотензивные препараты.
Тип используемого лекарства будет зависеть непосредственно от этиологии заболевания. В более тяжелых случаях прибегают к хирургическим методом лечения.
Всего же на сегодняшний день используются такие способы удаления патологии:
- Шунтирование. В этом случае производится установка дренажной трубки. Именно через неё будет осуществляться отток жидкости, которая находится в полости, после чего стенки образования срастаются. Главный минус способа в риске занести инфекцию;
- Эндоскопия. Такой метод подразумевает удаление патологии, за счет прокола черепа. При этом применяется эндоскоп, имеющий видеокамеру. Является наиболее безопасным способом, но при этом у него есть ряд противопоказаний;
- Трепанация черепа. Самый эффективный вид операции, которая дает возможность удалить любую кисту, однако имеет высокий шанс повреждения структуры мозга.
Последствия
Если лечения не проводилось своевременно, либо же оно было начато слишком поздно, то такая патология может привести к таким последствиям, как:
- Нарушение движений, а также координации;
- Развитие гидроцефалии;
- Нарушение слуха и зрения;
- Летальный исход.
Причины появления камеры
Капсула с жидкостью в головной мозге образуется на фоне травмы, воспалительных процессов. Самая редкая причина появления вакуолей – генетическая предрасположенность. Пациенты часто думают, что если киста возникла у них еще в младенческом возрасте, это говорит о генетическом характере заболевания. На самом деле многие дети получают кисту еще в утробе матери не в результате неправильных генов, а как следствие нарушений развития. Привести к развитию мозговых камер могут следующие проблемы в период беременности:
- воспалительные процессы;
- инфекции;
- угрозы выкидышей;
- травмы, пришедшиеся на область живота;
- нарушения питания плода через плаценту;
- курение, прием наркотиков и алкоголя, запрещенных во время беременности медикаментов.
Кисту у новорожденных обнаруживают еще в раннем возрасте и быстро удаляют. Тяжелее избавиться от лакуны, приобретенной уже во взрослом возрасте. Взрослые пациенты реже проходят обследования и редко страдают от симптомов развития лакуны.
Причины появления кисты в постнатальный период:
- воспалительные процессы головного мозга;
- черепно-мозговые травмы;
- кислородное голодание мозга;
- инсульт;
- клиническая смерть;
- злоупотребление алкоголем.
Привести к образованию камеры может любой процесс, который стимулирует отмирание нейронов. Это могут быть и любые вредные привычки.
Существующие виды
Так что же это такое – лакунарная киста в головном мозге и в каком виде она проявляется? Лакунарные кисты в современной неврологии классифицируются как врождённые и приобретённые. Врождённые считаются первичной формой заболевания, приобретённые – вторичной.
Врожденная лакунарная киста может сформироваться в материнской утробе, если будущая мать допускает себе курение, приём алкоголя и психотропных препаратов. Они, несомненно, являются патологическими факторами для формирования плода в утробе. Вследствие их влияния нарушается нормальная деятельность организма женщины, от которой всецело зависит развитие плода. Вредные привычки матери могут привести к мутации генов, нарушению питания плода, ухудшению его кровоснабжения. Причиной первичного лакунарного образования у младенца может стать перенесённое матерью заболевание, повлиявшее на строение нервных волокон и тканей плода.
Происходит это из-за нарушения закладки будущего ребёночка или патологии развития ЦНС. Формировка кистозной полости происходит на любой стадии эмбрионального развития, однако медики предполагают, что чаще всего это случается в первом триместре беременности.
Симптоматика недуга
Выраженность симптомов, а также их характер зависит от того, где локализуется образование. Важно учесть, что до момента активного развития лакуна никак не проявляет себя. Первые признаки прогрессирующей проблемы проявляются уже тогда, когда образование достигает крупных размеров.
Общие признаки наличия образования в головном мозге:
- головная боль;
- головокружение;
- усталость;
- повышенная утомляемость;
- нарушения поведения;
- резкие скачки настроения;
- проблемы с двигательными движениями, мелкой моторикой рук или рта;
- потеря некоторых навыков (чтение, речь и т.д.).
Важно. В остром проявлении лакуна может вызывать частые кровоизлияния как внутри мозга, так и из носа – это связано с повышенным давлением. Если пациент затягивает с обращением к врачу, у него может развиться тремор рук, слепота и другие нарушения неврологического характера.
Симптоматика в зависимости от локализации кисты:
- Лобная часть. Этот отдел отвечает за сокращения мышц, поэтому при образовании кисты в данном месте могут возникать нарушения в работе мышечных тканей. Часто это выражается в непроизвольном сокращении мышц рта и лица, в судорогах и приступах эпилепсии. Отличие эпилептических припадков, вызванных лакунами, от стандартных, в том, что клиническая картина развивается быстро, при том, что никаких предпосылок к развитию эпилепсии ранее не было.
- Затылочный отдел. В случае поражения этой части мозга нарушается зрение. Человек может потерять зрение частично или полностью. При неврологической слепоте зрение обычно теряется резко, без видимых травм и причин. Перед наступлением полной слепоты (что не обязательно в случае кисты) пациент может испытывать временные потери зрения, страдать от «куриной слепоты», беспричинный «мушек» и т.п. нарушений.
- Базальные ганглии. Одно из самых серьезных поражений, так как давление на этот отдел приводит к нарушению координации. Касается это в основном координации сложного типа: двигательной активности, при которой необходимо изгибаться, принимать сложные позы. При поражении ганглиев страдает как общая координация конечностей, так и мелкая моторика рук. Может развиться тремор кистей.
- Область висков. Нарушения данного участка приводят к психическим отклонениям и галлюцинациям смешанного типа. Пациент может страдать сразу от галлюцинаций вкусовых, зрительных или аудиальных, либо же испытывать один из перечисленных типов.
- Область темени. Одновременно могут быть потеряны навыки письма, речи (устной, при помощи жестов и любой другой), координация конечностей. При сильной выраженности пациент может перестать воспринимать речь окружающих, так как отделы обработки речи будут поражены.
Чем больше киста, тем более выраженные и систематичные симптомы испытывает человек. Так как перечисленные признаки образования лакунарной камеры очень серьезные, нужно обращаться к врачу при первых подозрениях, чтобы предотвратить осложнения.
Важно. Если консультация и терапия не произойдут во время, возникнут необратимые изменения головного мозга.
Профилактика
Маленькие кисты не проявляют себя никак. Их наличие присутствует, благодаря диагностике. Крупные кисты нужно удалять хирургическим путем.
При обнаружении у пациента такого диагнозе, нужно быстро обращаться за помощью к специалисту. Нельзя допускать переохлаждение, лучше избегать стрессов, увеличение артериального давления, сохранять себя от вирусов.
Методы диагностики мозговой кисты
Пациенты редко обращаются к врачу с подозрением на наличие кисты. Так как признаки заболевания очень не специфичные, рядовой человек не может отличить ее от ухудшения зрения, проблем нервной системы, последствия травмы. Поэтому проблема обнаруживается обычно в ходе общих регулярных обследований (диспансеризация или медицинское обследование перед вступлением в некую должность). В ходе диспансеризации кисту может обнаружить терапевт по описанным симптомам либо специалист по рентгену или МРТ, КТ.
В ходе диагностики необходимо дифференцировать кисту от заболеваний со схожими симптомами. Можно перепутать симптоматику лакуны со следующими недугами:
- постепенной потерей зрения;
- старческими изменениями нервной системы;
- деменцией;
- болезнью Альцгеймера;
- психическими отклонениями;
- злокачественными образованиями в области мозга;
- воспалительными процессами (менингит и т.п.);
- сотрясениями мозга;
- и т.д.
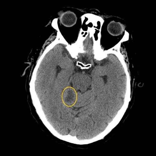
Список болезней, симптомы которых схожи с проявлениями кисты головного мозга, огромен. Поэтому при подозрении на наличие камеры с жидкостью сразу назначают серьезное обследование – компьютерную томографию, МРТ или рентген.
Рентгеновское обследование позволяет обнаружить нехарактерные участки серого вещества. Лакуны на снимке будут выглядеть, как контрастные области, резко выделяющиеся на фоне остальных, однородно окрашенных частей мозга. Проблема такого исследования в том, что размер капсулы может не превышать 1-2 мм, поэтому ее очень сложно разглядеть. Если образование небольшое, понадобятся более точные примеры аппаратов – МРТ или КТ.
Клинические проявления
Симптоматика патологии зависит от диаметра гигромы. Мелкие дефекты протекают бессимптомно, вызывая лишь эстетический дискомфорт. По мере прогрессирования патогенного процесса синовиальная сумка чрезмерно растягивается, причиняя выраженный болевой синдром.
- Костно-мышечная система
Операция кисты на копчике
При сдавливании мелких кровеносных сосудов или нервных волокон пациент отмечает у себя следующие признаки:
- Покалывание или онемение кожного покрова.
- Неврологические боли.
- Застойные явления.
Если поражен коленный сустав, то ходьба и бег вызывают неприятные ощущения. В запущенных случаях нарушается венозный отток, вызывая отечность пораженной области, посинение эпидермиса, ограничение подвижности конечности.
Возможные осложнения
Список осложнений, которые могут возникнуть в результате несвоевременной или неправильной терапии мозговой лакуны, очень велик. Основная опасность кисты в том, что она может привести к необратимым изменениям (при крайних стадиях развития). Необходимо устранять проблему путем удаления как можно раньше, когда ущерб от образования еще не так велик.
Основные осложнения:
- Воспалительный процесс головного мозга. Может развиться как в результате неправильно проведенной процедуры удаления, так и при естественном развитии капсулы.
- Раковая опухоль. Киста оказывается канцерогенный эффект на соседние ткани: постоянно лишает кислорода, питательных веществ, выделяет токсичные выделения. При постоянном воздействии это может привести к развитию рака.
- Потеря зрения. Это временное состояние, которое проходит после удаления давящей на зрительный отдел капсулы. Однако если в ходе операции была нарушена целостность зрительного отдела, слепота может остаться навсегда.
- Нарушение координации. Сюда относятся как проблемы с выполнением физических упражнений, так и невозможность правильно выполнить задачи на мелкую моторику. Это состояние тоже, как правило, временное.
- Провалы в памяти. В качестве остаточного явления могут преследовать пациента и после удаления кисты, но с каждым разом все менее выраженно.
- Эпилепсия. Особо тяжелое течение этого синдрома может быть при попытках лечить эпилепсию при помощи лекарств, которые не помогают в случае воздействия кисты. После длительного давления капсулы болезнь может сохраняться некоторое время даже в случае удаления камеры.
Классификация и локализация
Лакунарная киста классифицируется по следующим видам:
- Порэнцефалический. Врожденная форма, которая может возникать в результате нарушения развития эмбриона в утробе матери.
- Постнатальный. Приобретенная форма, возникающая при некротических процессах.
Локализация кисты может быть следующей:
- мозжечок;
- варолиев мост;
- подкорковые центры;
- зрительные бугры таламуса.
Врожденна форма кистозного образования в головном мозге возникает реже приобретенной. По месту локализации встречаются разные случаи – их соотношение примерно равное.
Симптомы болезни
О том, что у пациентов развивается лакунарная киста головы, не всегда догадываются при жизни. Новообразование не дает о себе никаких признаков. Выявить кисту удается только в 25% случаев. Когда новообразование достигает больших объемов, у пациентов возникает расстройство ЦНС в нескольких проявлениях: работа некоторых органов значительно ослабевает. Зрение в значительной степени подвержено такому расстройству.
Лакунарная киста головного мозга отличается такой симптоматикой:
- Тошнота.
- Рвотные позывы.
- Судорожный синдром.
- Галлюцинации.
- В ушах шумит.
- Возникают проблемы с чувствительностью.
- Ухудшается сон.
- В черепе пульсирует.
- Проблемы с координацией движений.
Когда достигаются внушительные аномалии, парализуются конечности, ухудшается зрительная функция. Сдавливается черепная коробка. Если киста появляется в мозжечке или возле него, затрудняется работа вестибулярного аппарата, меняется походка, теряется равновесие.
Если проявляются такие симптомы, развивается болезненная опухоль крупных размеров. В этих целях нужно оказывать людям срочную медицинскую помощь, что приводит к смерти людей.
Данный отдел отвечает за сокращение мышечных тканей, поэтому при формировании кисты в этом месте нарушается двигательная функция. Зачастую это характеризуется непроизвольным сокращением мышечных тканей на лице, появляются судороги, эпилептические припадки. Клиническая картина формируется быстро, предпосылок к развитию эпилепсии не предвидится.

