Флюорография легких представляет собой исследование органов грудной клетки при помощи рентгеновских лучей, которые проникают через легочную ткань и переносят рисунок легких на пленку. Данную процедуру назначают лицам старше восемнадцати лет. Плановая флюорография не должна проводиться чаще одного раза в год. Это исследование дает возможность выявить патологические изменения в органах грудной клетки.
Особенности процедуры
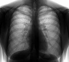
После флюорографии к полученному снимку прилагается заключение рентгенолога, которое может содержать следующие формулировки:
- Корни тяжисты (при бронхите или другом остром легочном заболевании).
- Корни уплотнены, расширены (при воспалении легких, бронхите).
- Усиление легочного рисунка (при пневмонии, бронхите, раке легких, сердечно-сосудистых заболеваниях).
- Фиброзная ткань (после инфекционного заболевания, травмы или операции на легких).
- Очаговые тени (при пневмонии, туберкулезе).
- Плевроапикальные наслоения (после воспаления в плевре).
- Кальцинаты (при туберкулезе, пневмонии, паразитарных заболеваниях).
- Изменения диафрагмы (после перенесенного плеврита, болезней пищевода, печени, желудка или кишечника, а также из-за ожирения и плохой наследственности).
- Тень средостения расширена (при миокардите, сердечной недостаточности, гипертонии и увеличении сердца).
- Тень средостения смещена (при раке легких на последних стадиях, а также при неравномерном скоплении жидкости или воздуха в плевре).
Кроме того, результат флюорографии может отражать возрастные изменения. С годами легкие теряют часть своих тканей, количество альвеол и легочных капилляров уменьшается, наблюдаются и другие возрастные изменения.
Так как органы грудной клетки поглощают излучение по-разному, снимок выглядит неоднородным. Бронхиолы, бронхи и сердце на снимке отображаются светлыми пятнами. Если у человека здоровые легкие, то флюорография отобразит легочную ткань равномерной и однородной.
Врачи подчеркивают важность флюорографии легких как одного из ключевых методов диагностики заболеваний органов дыхания. Этот метод позволяет выявлять различные патологии, включая туберкулез, пневмонию и рак легких на ранних стадиях, что значительно повышает шансы на успешное лечение. Специалисты отмечают, что регулярное прохождение флюорографии особенно важно для людей с повышенным риском заболеваний, таких как курильщики и лица с хроническими заболеваниями легких. Несмотря на некоторые опасения по поводу радиационной нагрузки, врачи уверены, что польза от ранней диагностики превышает возможные риски. Они рекомендуют проходить флюорографию не реже одного раза в год, чтобы сохранить здоровье и предотвратить развитие серьезных заболеваний.

Когда назначается
Флюорографию легких назначают в следующих случаях:
- Плановое обследование.
- Диагностика воспалительных заболеваний легких.
- Исследование легочных тканей.
- Обнаружение абсцессов, каверн и кист в легких.
- Выявление метастаз.
- Диагностика злокачественных новообразований в легких.
- Обнаружение инородных предметов в легких.
- Диагностика туберкулеза.
- Выявление проблем с лимфатическими узлами.
- Обнаружение склероза и фиброза.
Также для выявления туберкулеза флюорографию обязаны ежегодно проходить лица, работающие в санаторных предприятиях, различных лечебницах, тубдиспансерах, родильных домах, продуктовых магазинах, школах, детских садах и других общественных заведениях.
Флюорография легких — это процедура, о которой у людей сложилось множество мнений. Многие считают ее необходимой для профилактики заболеваний, таких как туберкулез или рак легких. Люди отмечают, что регулярное обследование помогает выявить проблемы на ранних стадиях, что значительно увеличивает шансы на успешное лечение. Однако некоторые высказывают опасения по поводу радиационного облучения, даже если оно минимально. В то же время, многие отмечают, что процедура быстрая и безболезненная, что делает ее доступной для большинства. В целом, флюорография воспринимается как важный инструмент в поддержании здоровья, особенно в условиях повышенного риска инфекционных заболеваний.
Как подготовиться
Флюорография легких не требует от пациента специальной подготовки. Перед обследованием врачи рекомендуют не переедать, так как полный желудок может изменить положение диафрагмы, что негативно отразится на результатах исследования.

Вопрос-ответ
Что показывает флюорография легких?
Поражения легочной ткани ― замещение нормальной ткани соединительной и рубцовой, фиброз, повреждения ребер, воспаление легких, пневмонию, скопление жидкости или воздуха в легких и бронхах, бронхиальную астму и прочие бронхолегочные патологии, туберкулез, абсцессы, Ещё

Можно ли увидеть поражение легких на флюорографии?
Для точной диагностики пневмонии делают именно рентген, флюорография не сможет достаточно четко визуализировать состояние легочной ткани, поставить точный диагноз. Флюорографию в основном делают в профилактических целях, а рентген непосредственно при лечении и диагностике патологических изменений.
Что может увидеть врач на флюорографии?
⚕Флюорография – это медицинская процедура, позволяющая получить и исследовать рентгенологическое изображение лёгких с целью выявить многие опасные заболевания. Например, злокачественную опухоль или туберкулёз на ранней стадии, когда симптомы заболевания не проявляются и диагностика болезни затруднительна.
Что покажет флюорография, если куришь?
С помощью флюорографии выявить курящего человека невозможно. Это можно сделать лабораторными анализами (по содержанию никотина и смол в волосах или ногтях.
Советы
СОВЕТ №1
Перед прохождением флюорографии убедитесь, что у вас нет противопоказаний, таких как беременность или наличие серьезных заболеваний. Обязательно проконсультируйтесь с врачом, если у вас есть сомнения.
СОВЕТ №2
Не забывайте о регулярности обследований. Флюорография рекомендуется проходить раз в год для профилактики заболеваний легких, особенно если вы находитесь в группе риска или работаете в условиях, способствующих развитию легочных заболеваний.
СОВЕТ №3
Перед процедурой постарайтесь не есть и не пить за 2-3 часа, чтобы избежать дискомфорта. Также снимите все металлические предметы, такие как украшения и очки, чтобы получить качественный снимок.
СОВЕТ №4
После получения результатов флюорографии обязательно обсудите их с врачом. Даже если вы не чувствуете себя плохо, важно понимать, что некоторые заболевания могут протекать бессимптомно на ранних стадиях.

